
IATROFOBIA.
La fobia a médicos, enfermeras, a las pruebas médicas se le conoce como un miedo irracional y persistente que provoca evitación de la atención sanitaria.
Dr. Roberto González
Conocimiento médico, experiencias y reflexiones desde la práctica clínica

Credencial Profesional

Información de Contacto

Equipo Endoscópico

Torre Gastroenterológica

Arte Médico

Se considera valor normal el superior a 200.mcrg/gr. Valores entre 100 mcg/g a 200 mcg/g reflejan insuficiencia pancreática exocrina de moderada a leve.( estos niveles pudieran dar falsos positivos, por lo que es conveniente determinarla mas de 1 vez.).

El cáncer colorrectal es el tumor más frecuentemente diagnosticado en España si se suma la incidencia en hombres y mujeres.

No recuerdo donde lo leí, por ello no pongo el nombre del autor. Aunque pienso que no se disgustará quien lo hizo, quien lo sintió , porque entiendo que se hace porque se siente y porque lo importante de un poeta es la propia poesía.

Luis Cernuda. -Luis Cernuda (1902-1963)

"LA CUESTA DE LA VIDA". Federico García Hamilton. Escritor, poeta tucumano, Argentino 1963.

IYa no es mágico el mundo. Te han dejado.Ya no compartirás la clara lunani los lentos jardines. Ya no hay unaluna que no sea espejo del pasado,cristal de soledad, sol de agonías.Adiós las mutuas manos...

SIBO, son las siglas en inglés que traducido al español es SOBRE CRECIMIENTO BACTERIANO DEL INTESTINO DELGADO..
Juan José Domenchina Moreu (Madrid, 18/5/ 1898 - México, 27/10/1959) fue Escritor, crítico literario español de la generación del 27.

Antonio Gala. Brazatortas, Ciudad Real, 2 de octubre de 1930 - Córdoba, 28 de mayo de 2023), Poeta, dramaturgo, novelista, guionista y articulista español.

Si mis manos pudieran deshojar.Yo pronuncio tu nombreEn las noches obscurasCuando vienen los astrosA beber en la lunaY duermen los ramajesDe las frondas ocultas.Y yo me siento huecoDe p pasión y de mú...

PANENDOSCOPIA ORAL-. ¿Doctor, cómo tengo que venir para que me hagan la prueba? de la Endoscopia oral, Endoscopia Digestiva alta, Esofago gastro-duodenoscopia? Cierto de todas esas formas se le conoce al...

Preparación para examen completo del intestino grueso- Colon, y el Íleon terminal. Esta exploración se hace bajo control por un Anestesista, con sobresedación.* Para la realización de esta prueba, el...

Joseph Rudyard Kipling (Bombay,1865-Londres,1936) fue un escritor, periodista, novelista, poeta y cuentista británico - .

Ramón María de las Mercedes (Pérez) de Campoamor y Campoosorio (Piñera, Navia, 24 de septiembre de 1817-Madrid, 11 de febrero de 1901) fue un poeta español del realismo literario.

JOSÉ ÁNGEL BUESA. 02/septiembre/1910. (Cienfuegos, Cuba)- 14/ agosto/1982 ( Santo Domingo, República Dominicana).

Bajo un amplio cielo gris, en una vasta llanura polvorienta, sin sendas, ni césped, sin un cardo, sin una ortiga, tropecé con muchos hombres que caminaban encorvados.

Al-Mutamid fue el último rey de Sevilla de la dinastía abasí. Vencido por los almorávides, sufrió el destierro a África, exilio que dejó inmortalizado en sus célebres poemas.

DOCTOR; Me viene dando un dolorcito aquí, y se señala con la punta de todos los dedos la parte baja izquierda-. ¿ No será el apéndice?. ¿ No vaya a ser apendicitis! ¡Dios no lo quiera!.

Doctor; llevo varios meses que me da un dolor aquí en el lado derecho, abajito de la costillla, se me va a la espalda, tengo náuseas y vómito, me dura 3-4 días y se me quita.

Es increíble que sobreviviera, pero lo había conseguido a fuerza de empacarse en túnica de acero.

💪HÉROES Y HEROÍNAS, O UNA LANZA POR LOS ANÓNIMOS.👏

Era domingo y ya tarde...

-Dr; En mi pueblo en una ocasión vi cómo una persona parecía echar el hígado por la boca.

" URGENCIA INSÓLITA" -Hola, hola, ¿ endoscopista de Guardia? – Sí, dígame...

Caminaba por la calle central del tranquilo pueblo del norte, al volver la mirada, un girasol cruzaba la calle de plomizo pavimento hacia la acera por donde yo iba…

Miss Universo 2023. Nicaragüense por la Gracia de Dios.

Pierre Ronsard. Poeta del renacimiento francés. 1524-1525.

León Felipe, Poeta Español.(Tábara, 11 de abril de 1884-Ciudad de México, 18 de septiembre de 1968),

Mario Orlando Hardy Hamlet Brenno Benedetti Farrugia (Paso de los Toros, 14 de septiembre de 1920-Montevideo, 17 de mayo de 2009)1 fue un escritor, poeta y dramaturgo uruguayo,

Orihuela, 30 de octubre de 1910-Alicante, 28 de marzo de 1942)

Poema de Juan Antonio Cavestany. Sevilla-1861-Madrid 1924.

Karl Bukowski ( Alemania, 1920-San Pedro, Los Ángeles, 1994), conocido como (Henry) Charles Bukowski, fue un escritor de relatos, novelista y poeta germano-estadounidense, representante del realismo sucio y considerado como un «poeta maldito», debido a su excesivo alcoholismo, pobreza y bohemia.

Miguel Ramos Carrión (Zamora, 17 de mayo de 1848-Madrid, 8 de agosto de 1915) fue un dramaturgo, periodista y humorista español.

Julio Flórez Roa (1867-1923) fue un destacado poeta colombiano, conocido como el "Poeta Nacional", figura clave del romanticismo tardío

Grace Ramsay

José Tomás de Cuéllar, conocido por el seudónimo Facundo, fue un escritor, periodista, político y diplomático mexicano. 1830-Ciudad de México 1894.

Edgar Allan Poe fue un escritor, poeta, crítico y periodista romántico estadounidense, generalmente reconocido como uno de los maestros universales del relato corto, del cual fue uno de los primeros practicantes en su país. Boston 1809-Washington 1849.

Macedonio Fernández fue un escritor, abogado y filósofo argentino, célebre por su novela experimental Museo de la Novela de la Eterna, publicada póstumamente en 1967. 1874-Buenos aires-1952.

HAFIS, (Shiraz, Irán, 1325 - Shiraz, actual Irán, 1389) Poeta persa. Nacido como Mohammed Shams od-Din, su sobrenombre literario de Hafez («preservador» en árabe) responde a que conocía de memoria el Corán.1 Fue místico sufí y ocasionalmente, poeta de la corte.

Willian Ernest Henley ( 1849-1903) Inglés.

(Poetisa, Escritora, Feminista, Crítica de Arte. 1914 Guatemala- Detenida y Desaparecida en diciembre 1980).

Francisco de Quevedo (Madrid 1580- Villanueva de los Infantes,Ciudad Real 1645).

Salomón de Jesús Selva ( León, Nicaragua, 1893- París 1959: Poeta Nicaragüense)-
Langston Hughes (Misuri, 1902 – Nueva York, Nueva York, 1967) Poeta, novelista y columnista estadounidense afroamericano.
LOS HERALDOS NEGROS.
KONSTANTINO KAVAFIS. Poeta griego.1863-1933.
Mi vidaes un destierro sin retorno.No tuvo casami errante infancia perdida,no tiene tierrami destierro.Mi vida navegóen nave de nostalgia.Viví a orillas del marmirando el horizonte:hacia mi casa ignor...
HAFIS, (Shiraz, actual Irán, 1325 - Shiraz, actual Irán, 1389) Poeta persa. Nacido como Mohammed Shams od-Din, su sobrenombre literario de Hafez («preservador» en árabe) responde a que conocía de memoria el Corán.1 Místico sufí y, ocasionalmente poeta de la corte.
Federico García Lorca fue un poeta, dramaturgo y prosista español, también conocido por su destreza en muchas otras artes. Fecha de nacimiento: 5 de junio de 1898, Fuente Vaqueros Fallecimiento: 19 de agosto de 1936, Alfacar Canción Otoñal.
DOCTOR; Mi médico me hizo un test de sangre oculta en heces, salió positivo y me envía para una colonoscopia. ¿Me puede explicar?-Claro, con mucho gusto. COLONOSCOPIA Es un un examen del Intestino ...

Dr; Me aconsejó mi médico que viniera porque tengo molestias de estómago y que me tendrán que hacer una Endoscopia oral, algo por la boca me dijo, que era necesario…¿Qué es eso? La Endoscopia oral di...

-Colon Irritable:Acudió por dolor abdominal a veces, a veces tenía deposiciones “Sueltas” diarreicas, matutinas pocas cantidades, 2-3 veces durante la mañana, alguna que otra por la tarde, nunca esta...

Es muy frecuente que los pacientes cuando llegan a mi consulta, me muestren los medicamentos que están tomando, y además me dicen tengo EL PROTECTOR.Cuando escucho la palabra EL PROTECTOR, sonrío con ...

LA L4-L5.Hay muchísimas personas que sufren de dolor de "Rabadilla".- Así lo dicen en algunos países, en España lumbalgias, tambièn los ...

EN CONSULTA. Una paciente el otro día.- Cuando hago mis necesidades doctor hecho sangre, muy poquito, pero creo que son las he...

MOMENTOSEl último paciente era un señor de 73 años, la señora que lo había acompañado entró con él a sala de ENDOSCOPÍA. La enfermera, le indicó a l...

LO MALO NO TERMINA SIENDO TAN MALO.No hay nada que ocurra, nada que exista que sea completamente malo. Siempre, todo, incluso lo malo de...

SI SANGRAS POR ANO-COLONOSCOPIA. El señor sentado frente a mi, me dijo, he sangrado un poco, pero yo creo que son hemorroides. -Si, pueden ser ...

DECIMOS A VECES, ESTOY PREPARADO. Hace unos cuantos años, más de 15, escuché a alguien de unos 50 años, que me decía: “Te cuento que yo ya me puedo m...

"EL SER HUMANO Y EL SER HUMANO".Hace ya más de 10 años, paseando con una amiga Nicaragüense en California. Llevaba ella viviendo más de 20 años en USA...

NO QUIEREN OÍR BABOSADAS. ¡Los Muertos están asustados! han observado que arreglan la fachada de los cementerios, están llevando flores al borde de ...

ESTAMPITA DE CRISTO DE LA HUMILDAD Y LA PACIENCIA.Hoy he abierto nuevamente los ojos. Soy un bendecido con esta maravilla de experiencia de vida,...

CRITALES EN EL CULO.Así me refieren los pacientes los síntomas de FISURA ANAL, y realmente solo imaginar esos cristales ya duele.-La fisura anal, e...

ÉPOCA DE VIOLENTOS.En la Violencia pensaba FB, en la agresividad y la Violencia, esa lacra de esta época, tanto en sociedades más desarrolladas como...

UNA BESTIA NEGRA. De cada 10 personas que acuden a mi consulta al menos 3 sufren lo que ellos llaman mala digestión. Son mayoritariamente mujeres ...

Aquello fue la primera cosa bella que sintió el chico de 15 años que caminaba por la calle principal de la ciudad

¿PUEDO DARLE UN ABRAZO?Puedo darle un abrazo me dijo, y acto seguido extendí mis brazos, el hombre de u...

SEÑOR IRRITADO.-Colon Irritable.Acudió por dolor abdominal a veces, a veces tenía deposiciones “Sueltas” diarreicas, matutinas pocas cantidades, 2-3 ...

Con cierta frecuencia veo en consultas, pacientes con anemia tomando Hierro sin que se haya aclarado previamente la causa de la anemia.Este proceder e...

Es un trastorno de hábito intestinal, causa de síntomas molestos que se ve con mucha frecuencia en las consultas médicas.Solemos definirlo como la Def...

APUNTE DE SALUD.1-Si Ud. en un día cualquiera observa que sus deposiciones son de color negro, brillante, y huele mal, o muy mal.-Eso puede significar...

A Todos, mis amigos y a los que no lo son. Yo no fumo. Yo no bebo. No busco pleitos, me gustan los ancianos, los niños, los hombres y mujeres dignas.M...

ÚLCERA GASTRODUODENAL.La Úlcera gastroduodenal o ÚLCERA PÉPTICA es una llaga que se forma en la capa que recubre...

HERNIA DE HIATO es una situación anatómica anómala muy frecuente, pero no siempre que hay reflujo hay hernia de hiato.-El probl...
"LOBOS EN LAS REDES"Es una sorpresa la invasión en redes de anuncios, personajes, desconocidos anunciados con títulos y personajetes reconocidos anun...

AUTOEXPLORACIÓN. Hoy atendí a una Mujer, por problemas Digestivos. En sus antecedentes, constaba una intervención sobre su mama izquierda...

El Cáncer de mama existe, no hay que olvidar eso. No hay que ver para otro lado. Para que no te...

DOCTOR, yo vengo por Anemia, y por diarrea desde que era jovencita, me he quedado en los huesos, se me cae el pelo, en fin a ver...La enfermedad...

ENDOSCOPIA DIGESTIVA/CONSULTAS.-Oiga, Oiga... sabe Ud...

AQUELLA ROSA ROJA.Caminaba por la calle central del tranquilo pueblo del norte, al volver la mirada, un girasol cruzaba la calle de plomizo pavime...

MIGRAÑA-JAQUECA.Migraña, Jaqueca ¿Es ...

Hoy día en Andalucía se realiza desde las instancias correspondiente una amplia campaña para la prevención del cá...

INTOXICACIÓN ALIMENTARIA- TOXIINFECCIÓN ALIMENTARIA. Se trata de un grupo de enferm...

DIETA- FODMAPs.¿QUÉ ES EL FODMAPs?Significa oligosacáridos, disacáridos, monosacáridos y polioles fermentables. Estos son carbohidratos de cadena corta -- az...

¿Por qué se producen los gases;— Estas son algunas de las causas de los gases:-Tragar aire, en general mientras come, bebe, o fuma. El aire trag...

REFLUJO GASTROESOFÁGICO.Consiste en el escape de contenido del estómago ácido hacia el esófago superior. Es una patología frecuente y tiene...

HALITOSIS se le llama al Mal Aliento o el menos vulgar y menos feo, Fetor Oris. Pues eso, eso quiere decir cualquier Olo...

Dr. Vengo porque creo que tengo infección de Orina. Llevo varios días con molestias al orinar, orino a cada rato y poq...

" URGENCIA INSÓLITA" -¡Hola, hola,! ¿ Endoscopista de Guardia? – Sí, dígame -Tenemos a un señor de unos 70 años con dolor en el pecho y atragantamie...

El otro día me "engollipé" con una trozo de Jamón. Es la segunda o tercera vez que me pasa y por eso vengo. Ha hecho bien, hay que averiguar porque le sucede eso...

Dr. ¿Por qué es malo tener alto el Colesterol? No solo el Colesterol Doña Amparo, también los Triglicéridos. Lo cuento.-El colesterol es una...

Dr. Se me subió la presión y ni me di cuenta. Así es, por eso le llaman la Asesina silenciosa, porque la gran mayoría de las veces, no nos damos cuenta ...

Tengo el hígado inflamado, tengo hepatitis. "Inflamado" cualquiera puede ver lo que es inflamado y no lo confunden con lo que es "gordo...

Dr. Me salieron las transaminasas alteradas en un análisis de sangre, ¿Que es eso? ¿QUÉ SON LAS TRANSAMINASAS? ;Las transaminasas ( ALT...

¿Qué es el Hígado graso? Hígado Graso, el término médico es el de ESTEATOSIS HEPATICA. Me parece más bonito y ...

¿Dr. González?; Dijo la voz al otro lado de la conexión telefónica, ¡Hola Silvio! gusto de saludarte.-No jodas fijate; doctor que me a...

Gripe y Resfriado-. La gripe y el resfriado son provocados por virus diferentes y los síntomas aunque parecidos no son iguales.

Educación del paciente: Sangre en las heces (sangrado rectal ...

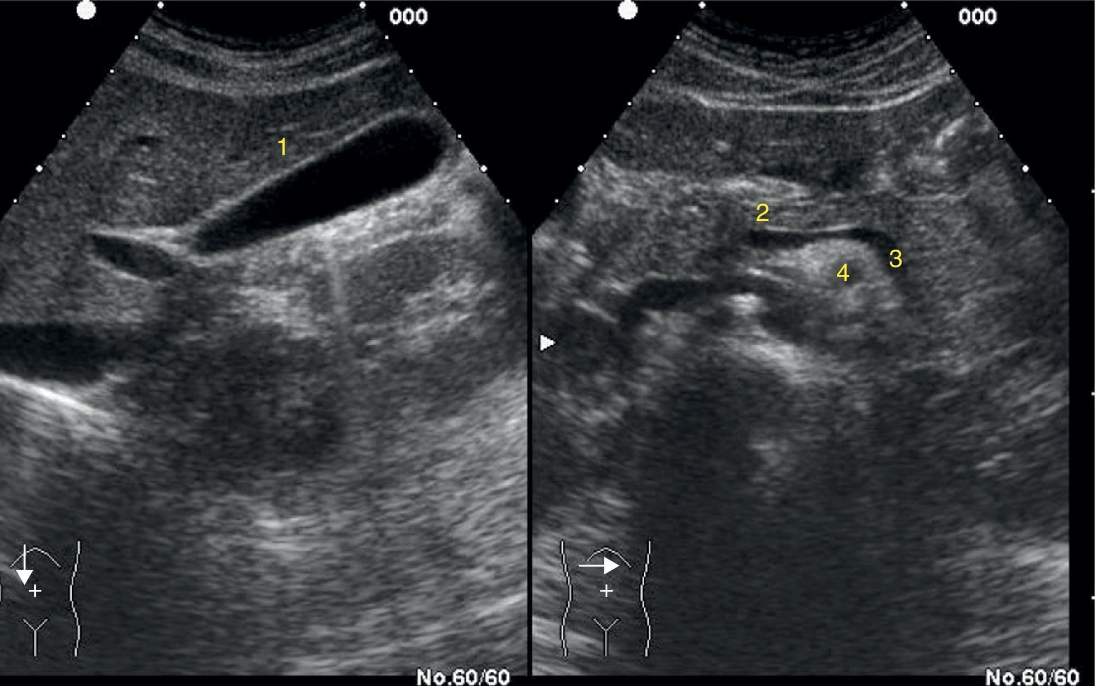
Dr: Vengo a Consulta porque me duele este lado desde hace varios meses, y mi médico de Cabecera me dijo que necesitaría una ecografía de abdomen...

DOCTOR; Mi médico me hizo un test de sangre oculta en heces, salió positivo y me envía para una colonoscopia. Me explica en qué consiste la exploración. COLONOSCOPIA.

Dr; Me aconsejó mi médico que viniera porque tengo molestias de estómago y que me probablemente me harían una Endoscopia oral, por la boca...

Un divertículo es similar a una bolsita, se forma a través de puntos de debilidad en la pared del intestino grueso

Sucedió allá por los años 70.- Dos jóvenes adolescentes William y Alberto íntimos amigos, juntos a todas partes, en una tarde fresca s...

Doctor; “Felicidades” Hoy es día de la Amistad y del amor. ¿Creé Ud, que hoy puedo darle un beso a mi pareja? Jejeje, ¡felicidades! ...

Doctor; llevo varios meses que me da un dolor aquí en el lado derecho, abajito de la costillla, se me va a la espalda, tengo naúseas y vomito, me du...

El Nicaragüense sorprende siempre, acabo de oír una noticia en radio Bemba, radio PueblO. En la oscuridad del domingo 24 una mona insomne...

TU TÍA AURA HA MUERTO. Es el mensaje que he recibido de distintos familiares esta madrugada; Aunque es noticia mala, agradezco que se preoc...

SÍNDROME DE INTESTINO IRRITABLE:DOCTOR : Tengo dolor de barriga y a veces diarrea. Me han dicho que tengo al colon irritado, será eso así?¿Que es el ...
DOCTOR, Me hicieron las pruebas que me mandó y todo está bien, ya tengo 45 años, hay que cuidarse. -Sí, más vale prevenir el CÁNCER DE COLON.

Prevención del Cáncer de colon.-Más vale prevenir el CÁNCER DE COLON.*El cáncer colorrectal (intestino grueso). Supone la segunda causa de muerte por cáncer en los países desarrollados, superado tan s...

DOLOR PÉLVICO CRÓNICO: Se define como el dolor que ...

DOCTOR, ¡Llevo va...

¿Qué es la diarrea?La diarrea describe evacuaciones intestinales que son líquidas o acuosas y ocurren 3 o más veces en un día. La diarrea es muy común...

DOCTOR, Yo vengo porque estoy perdiendo las carnes, llevo perdido 15 kilos en 3 meses, y me duele el estómago. EL CÁNCER de estómago se produce cuando las células normales del estómago se transform...

La Mosca, reaparece de nuevo, pero esta vez en mis recuerdos. Léanlo entero, junto a los comentarios de aquellas fechas, quizás vuelvan a reír, reír, reír es sano, reír es saludable, no tanto como yo, que ya me vienen dudas si no rio tanto por consciente o todo lo contrario. jejejeje.
28 agosto 22. MI PRIMA ASINIA MARÍA CASTRO M; De niña la recuerdo de cutis fino, piel blanca, sonrosada, cabello rubio-castaño suave carita de ángel...

DÉFICIT DE LACTASA INTESTINAL.- INTOLERANCIA A LA LACTOSA- La Intolerancia a la lactosa es un padecimiento que dificulta la digestión de la leche y los productos...

DOCTOR, Yo pedí cita porque oigo tantas cosas, y a mi ese revuelto no me gusta, yo quiero que Ud. me explique, qué es eso del bicho, que me han ...

DOCTOR, siento que me quema, un chorro de fuego me pasa por dentro del pecho. REFLUJO GASTRO ESOFÁGICO: Consiste en el escape de contenido del estóma...

DOCTOR, tengo dolor de estómago, y se me inflama mucho el vientre ( se me hincha tanto que por las tardes pareciera que estoy embarazada).De esa mane...

DOCTOR, vengo porque ya no aguanto, llevo 2 semanas sin hacer kaka, sin dar de cuerpo. No hay manera doctor.El ESTREÑIMIENTO es un trastorno del hábi...

DOCTOR, No puedo dar de cuerpo, me duele una barbaridad. No puedo, no puedo, duele como si tuviera cristales allí. FISURA ANAL es una pequeña heri...

DOCTOR, llevo varios meses con un dolor de estómago y el hombre se toca el centro del abdomen, entre ambas parrillas costales. ¿Tendré úlcera?La ÚLCER...

DOCTOR, Vengo porque mi medico de cabecera me detectó anemia.ANEMIA significa que nuestro cuerpo no tiene los suficientes glóbulos rojos y la hemoglob...

DOCTOR, me dijo la mujer de unos cuarenta años, entradita en carnes, todavía fértil. Me duele aquí mire y su mano la posaba debajo de costillas del l...

-DOCTOR, Yo vengo para que vea a mi niño, que me parece tiene hepatitis, le veo amarillo el ojo.El hijo, ya más grande que la madre y el médico juntos...

DOCTOR, yo quiero que me mire, me duele el estómago, y me han dicho que puede ser Gastritis."GASTRITIS" Significa inflamación de la capa que recubre e...

HÉROES Y HEROINAS.Ya los hemos visto, existen en el mundo y existen muchos hoy día en Nicaragua, mis respetos y admiración por ellos y ellas, son real...

Y el Hombre dijo tras larga reflexión, tiene daño interior, no reciente sino de larga data, desde su niñez probablemente, falló la madre, falló el p...

Se nace, crece, se reproduce y muere, aquella cantinela que de memoria nos hacían recitar en el colegio infantil para aprender que las plantas son ser...

LOS GIRASOLES DE HUELVA.🌻🌻🌻🌻🌻🌻. La Carretera sinuosa al acercarse , cuando ya se huele a mar, los sentidos despiertan y la vista se regocija...

En el reciente invierno, en uno de los días entró a la consulta con pasos cortos y rapiditos, delgada, estatura media baja, durita en pie, derechita...

La Vida- Tu tiempo. La delgada y frágil línea que nos separa del regreso a la tierra y al olvido, está adherida a nosotros como la piel, no...

EL DESENCANTO. Tenía yo un familiar que había nacido con un problema, una tumoración que producía dificultades físicas y dolores...

Roberto González G . 20 de febrero de 2021. ANOCHE VINO.Anoche vino, yo la esperaba, llegó como siempre con la perfección de la circunferencia y su b...

MI LUNA SIEMPRE.Siempre me ha gustado la Luna, desde niño, me atraía, me embelesaba y allá en las aburridas y negras noches del fresco pueblo de...

EL PLATO DEL CABRÓN. Hoy también he trabajado de tarde, estuve haciendo Endoscopias de Aparato Digestivo con un buen equipo de trabajo...

"COSAS DE BÉTICOS Y SEVILLISTAS." Hace ya unos cuantos años, un amigo enfermero con el que trabajé en un gran hospital de Sevilla, me contó preo...

&nbs...

¡NO FUMES! Un café irlandés en mi camino a casa, me abrió el deseo de tomar una taza. busqué la mesa más apartad...
"Que se me muera allí" Sería yo muy niño, cuando sin estar en ella, escuché una conversación, la curiosidad me llevó a quedarme por all...

Allá en la perla del septentrión al Norte de Nicaragua sucedió. El viaje se me hizo inolvidable... Ya había oído hablar...

"Mejor la soledad sola, que soledad en compañía" Anoche me acosté temprano, me sentía algo cansado y me metí pronto en cama, cerré los ojos y escu...

En este tiempo de calor aquí, en Huelva de playas bellas, me recordé de aquello.. El FRESQUITO. Unos días escasos llevaba en el pueblo,...

Aquel día finalizó la ansiedad acumulada de muchos meses de espera, había recibido una Carta del sistema sanitario público, le indicaban en...

Náuseas y Vómitos. ¿Qué son las náuseas y los vómitos? — Las náuseas son las sensaciones que aparecen cuando usted tiene ganas de vomitar ...

“Meteorismo” o “flatulencia”. El meteorismo es un cuadro clínico debido a un exceso de gas dentro del intestino y al aumento de la sensibilidad de las paredes de éste a la distensión.

"ESTEATONOSEQUÉ." En día de consulta vi a Un hombre de Tamaño mediano, redondeado todo por igual, su cara con mofletes fuertes, era colorad...

"ESTEATOSIS". Llamado también Hígado graso es una enfermedad que no da síntomas inicialmente... Llamado también Hígado graso es una enfermedad que no da síntomas inicialmente, la llamada Esteatosis grado tipo I. se produce por ...

Esta tarde en desfile de recuerdos me quedé en uno de hace muchos años, estudiante medicina. Fui a ver una Película... - Proceso a J...

Tras un paréntesis de varios meses, he vuelto a desempeñarme en un sector del Hospital que llamamos, sala de pacientes ingresados o bien Hospital...

LA NOVATADA Linda ciudad de Sevilla se despertaba al 1985, mientras me ...

Recuerdo hace ya unos años, en mi etapa de ejercicio en Sevilla, entrar a un hospital era toda una peripecia (Habían celadores apostados en las entradas...

La Automedicación es una práctica extendida en las sociedades de los diferentes países del mundo, en cada lugar se arbitran medidas para evitar que...

Creo que hechos como el que sigue, deben contarse. Estas cosas deben saberse, conocerse, extenderse por la red, deben servir para reflexionar y saber...

Una amiga me llamaba la atención sobre el tema de la vocación médica, había leído algo sobre ello en Internet. Su mensaje me trajo a la mente...

Roberto González Madrigal, o mas conocido por usted como tu hijo. Te da la bienvenida a tu nuevo blog. Espero que este sitio nos sirva y sobre todo te...