Doctor; llevo varios meses que me da un dolor aquí en el lado derecho, abajito de la costillla, se me va a la espalda, tengo naúseas y vomito, me dura 3-4 días y se me quita.
COLELITIASIS.
Las Piedras en la Vesícula. La Colelitiasis o Cálculos en Vesícula biliar.
Es uno de las patologías mas frecuentes, que afectan al tracto gastrointestinal, hay estimaciones que en USA, que nos señalan que hasta un 10 % de la población padece de cálculos en vesícula.
La vesícula biliar es un órgano que tiene la forma de una pequeña pera y está ubicada debajo del hígado y adherida a él, en el lado derecho del Abdomen.
La vesícula está conectada a través de un pequeño conducto (cístico) a la vía biliar principal que es otro pequeño conducto que transporta la bilis al intestino delgado (duodeno).
La Bilis se produce en el Hígado, y se trata de un líquido compuesto por diferentes sustancias, entre las cuales, hay agua, electrolitos, sales biliares, colesterol, y lecitina.
Entre las funciones de la Bilis, está la de ayudar a la digestión de las grasas y normalmente una vez que se produce en el hígado circula por unos pequeños conductos dentro del hígado hasta llegar a la vesícula y vía biliar.
En la vesícula se almacena, se concentra y es bombeada hacia el intestino a través de un
conducto llamado colédoco que desemboca en un pequeño promontorio (Papila de Vater) con orificio en el intestino delgado (segunda porción duodenal).
Existen varias teorías con respecto a la formación de los cálculos dentro de las cuales se
mencionan desequilibrios entre los componentes de la bilis y alteraciones de la motilidad de la vesícula. Un cálculo es una “piedrecilla” que puede ser diminuta o llegar a medir varios centímetros, pueden ser únicos o múltiples y están formados por millones de cristales de colesterol o una mezcla de colesterol y pigmentos biliares, y calcio.
Los cálculos de colesterol son los más frecuentes en los Estados Unidos y en gran parte del mundo occidental (70%), pero en Asia los cálculos más frecuentes son los de pigmentos biliares.
Riesgos: La colelitiasis se observa con mayor frecuencia en las mujeres, sobre todo si además son obesas y han tenido varias gestaciones.
También en personas con antecedentes familiares de colelitiasis, con cirrosis hepática, en diabéticos, en pacientes con enfermedades del íleon terminal (extremo distal del intestino delgado) o con cierto tipo de enfermedades hematológicas y en grupos étnicos especiales como en los indios americanos.
Cuando una persona ingiere un alimento grasoso la vesícula biliar se contrae para enviar una cantidad adicional de bilis hacia el intestino, pero si ésta contiene cálculos puede ocurrir que uno de ellos obstruya su conducto de drenaje y al no poderse desocupar su contracción causa un dolor intenso o cólico biliar.
¿Cuales son los síntomas?
La colelitiasis puede dar síntomas o no dar ninguno.
Las personas asintomáticas no tienen manifestaciones de la enfermedad y ésta, se descubre por casualidad cuando se solicita una exploración por otros problemas que sufre la persona.
Un paciente con Piedras en la vesícula que no ha dando síntomas puede nunca tener
manifestaciones de la enfermedad y se estima que la posibilidad de que ocurran síntomas es del 1% al 2% por año y generalmente consiste en cólicos biliares.
Los pacientes con colelitiasis sintomáticas se presentan más frecuentemente con el llamado cólico biliar. Este consiste en un dolor intenso, intermitente y espasmódico ubicado en la parte superior derecha del abdomen o en la parte superior y central del abdomen con irradiación hacia el dorso o hacia la escápula derecha (Espalda) y generalmente desencadenado luego de 15 a 60 minutos de haber consumido comidas copiosas, grasosas o fritas.
Además se puede acompañar de nauseas, vómito, sensación de distensión del abdomen y flatulencia.
El dolor en algunas oportunidades puede aliviarse de manera espontánea pero en otras obliga al paciente a consultar a un servicio de urgencias. De ésta manera la colelitiasis sintomática continuará con episodios recurrentes de dolor y la posibilidad de desarrollar complicaciones, lo que empeora dramáticamente la severidad y las consecuencias de la enfermedad, como pueden ser la -Colecistitis Aguda (Inflamación por infección de la vesícula biliar); -Ictericia (color amarillento que adquiere la piel tras un episodio de dolor y obstrucción por un cálculo).
-Pancreatitis Aguda, también puede ser consecuencia de un cálculo impactado en la parte final del conducto por donde desagua la bilis en el intestino.
¿Como se Diagnostica?:
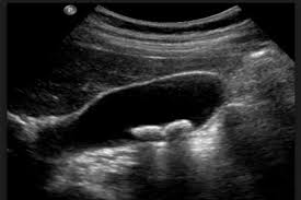
La Ecografía Abdominal, o Ultrasonografía Abdominal: Es el estudio de elección, el cual es rápido, indoloro y que tiene una sensibilidad del 95%, pudiendo estudiarse además, evaluar, las evaluar las características de la vesícula biliar y de los conductos biliares.
La persona que ha sufrido ya de cólicos biliares, está en riesgo de presentar complicaciones en el momento de la crisis aguda, o posteriormente, (Colecistitis, perforación de la vesícula biliar,absceso perivesicular, ictericia obstructiva,- se pone el enfermo de color amarillo y produce orinas oscuras-, por migración e impactación de una piedra en el colédoco distal, pudiendo además provocarse una Inflamación del Páncreas (Pancreatitis aguda) que puede ser leve moderada o grave, por esta misma obstrucción. Las complicaciones se dan con más frecuencia en diabéticos.
También se pueden utilizar otros medios diagnósticos, como el TAC (Tomografía Axial
Computerizada), la Colangio-Resonancia –Magnética (CRMN), pero la inicial, más económica, mas fácil de realizar, sin radiaciones, y sin molestas para el paciente es la
Ecografía abdominal, que además puede repetirse las veces que haga falta precisamente por esas características.
Tratamiento:
1- Es La intervención quirúrgica, para la Colelitiasis Sintomática, Actualmente se realiza por vía Laparoscópica, que es un procedimiento mínimamente invasivo que requiere menos tiempo de hospitalización, y representa menos dolor para el paciente que la cirugía abierta convencional.
Los personas que tienen Piedras en la vesícula sin que se hayan producido síntomas, -asintomáticos-, No requieren de tratamiento con cirugía pues se ha visto que éstas personas tienen una probabilidad muy baja de tener manifestaciones por dicha condición.
Es importante que los pacientes asintomáticos conozcan bien los síntomas de la enfermedad para que en caso de su ocurrencia, consulten de inmediato con un médico.
Se les recomienda una dieta baja en grasas. Algunos pacientes asintomáticos con condiciones de riesgo especiales deben evaluarse de forma individual porque pudieran ser candidatos para la cirugía.
2- También se han utilizado tratamiento médicos: Como el ácido
Ursodesoxicólico, para los cálculos de colesterol. Si bien es cierto que este tratamiento, puede ser efectivo en algunos casos, lo consigue tras una toma mantenida de varios comprimidos diarios, y no antes de 6-9 o 12 meses, en vesículas funcionantes. No se considera práctico y No se utiliza en la Práctica clínica.
3-Litotricia Extracorpórea, consiste en fragmentar los cálculos mediante ondas de choque, con una maquina especial para ello. Actualmente No se recomienda.
4-Cuando los cálculos se salen de la vesícula y se retienen en colédoco,- conducto que
desagua en duodeno-, se pueden y se debe intentar su extracción mediante la realización de una CPRE-Esfinterotomía ( Colangio Pancreatografía Retrógrada Endoscopica-Esfinterotomía), y extracción por vía endoscópica.
Hoy Por Hoy el mejor tratamiento de las piedras sintomáticas en vesícula biliar, es la quirúrgica mediante Laparoscopia.
Nota de los Martes. 7-febrero2023. Dr. Roberto González G.- Gastroenterólogo. Endoscopia Digestiva.
