
Punto sangrante anterior foto, ya solucionado.
Resultado del punto sangrante en duodeno ya tratado.

Hemorragia digestiva alta.
Punto sangrante en Duodeno, solucionado con colocación de un clips metálico,

Esofagitis Eosinófilica
El Esófago está infiltrado por células eosinófilas, produciendo resequedad del tejido, y gran aumento de la presión interior, provocando en la persona episodios de atragantamientos- Disfagia transitorias- Síntoma agobiante, atoramiento. Desaparece en minutos, u horas, tranquilizarse, no ingerir nada, y esperar. Si queda el alimento impactado Acudir a un centro hospitalario. No se considera proceso de tipo inmunológico.

Cicatriz de Úlcera grande en estómago
Tras tratamiento médico la úlcera cicatrizó, Biopsias negativas. No obstante se debe reexaminar y nueva toma de biopsias en 3-4 meses. Sospechosa por su tamaño.

Cáncer Rectal.
Crecimiento infiltrante que afecta la mitad de la circunferencia en el extremo distal del intestino grueso- Recto-.

Achalasia.
Trastorno Motor de Esofago. No tiene peristaltismo- contracciones para avanzar el alimento; Falta de relajación de un Esfínter llamado Cardias en el extremo distal que da paso a estómago, como consecuencia se dilata, aumenta de anchura, volviéndose un saco flácido que produce trastornos en la alimentación- Disfagia-.
Neoplasia gástrica.
Neoplasia maligna, infiltrante gástrica.

Estómago por ingesta de Caústicos
Lesiones hemorrágicas producidas por Ingesta de cáusticos.- Quemaduras-.
Pólipos Hiperplásicos Gastricos.
Son crecimientos benignos en cavidad gástrica, cuando crecen mucho pudieran ser origen de sangrado.
Estómago con bandas enrojecidas recordando la imagen de una sandía.
Aparece por dilatación capilares, en La hipertensión Portal, que sucede en la Cirrosis Hepática. terminan produciendo Anemia crónica, o Hemorragias digestivas.

Esófago de Barret
El esófago tapizado por mucosa que es la propia de estómago. Esto puede terminar siendo asiento de un cáncer. Debe ser tratado y revisado, con vigilancia estrecha, para prevenir.

Papila de Vater
Papila de Vater drenando bilis. Allí desemboca la bilis que sale de vesícula y conductos biliares para ayudar a la digestión, en el Duodeno, primer segmento de Intestino delgado

Crohn afectación del Ileon Terminal.
La imagen muestra ulceración rigidez, estrechez nodulaciones, por Enfermedad de Crohn, cuya causa se desconoce, y pudiera afectar cualquier punto del desde esófago hasta el ano, si bien lo más frecuente es afectación del intestino delgado, en Ileon terminal y el intestino grueso por segmentos.

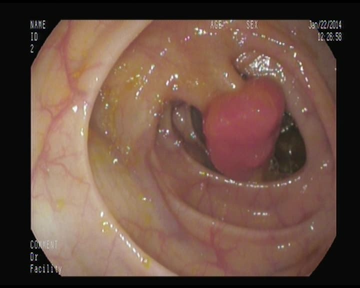
Pólipo adenomatoso, con pedículo ancho
Deben ser resecados para su analisis histólogico, y confirmar que es pólipo que se transformaría en cáncer. Esto no da sintomatología, una sangre oculta en heces, nos puede inducir a realizar colonoscopia y detectarlos.

Polipo Adenomatoso. Benigno.
Pólipo Benigno, que ha sido resecado, para evitar su transformación a cáncer.

"cat scratch colon"
Hemorragia submucosa por barotrauma. se produce en algunos pacientes al insuflar aire en demasía en colon, sobretodo el colon derecho. Desaparece espontáneamente. Debe detenerse y finalizar exploración.

Ulcera Gástrica
Gran úlcera gástrica y profunda, cuyo fondo está totalmente tapado por un coágulo evolucionando, el tamaño y la profundidad son factores visuales que indican que pudiera ser maligna.
Pastilla adherida en esofago distal.
Algunas veces puede ocurrir por el tipo de comprimidos, por ejemplo las tetraciclinas, o por trastornos motores del esófago que facilitan esta curiosidad. Deben tomarse los medicamentos siempre con abundante agua.

Puntos negros en Duodeno
Por metástasis duodenal por un Melanoma maligno. tumoración de piel.

Implante negruzco en estómago.
son una manifestación característica de la metástasis gastrointestinal del melanoma maligno. Aunque el melanoma suele originarse en la piel, tiene una alta tendencia a propagarse a órganos internos, incluyendo el tracto digestivo.

2clips Metálicos en colon.
2 clips metálicos colocados tras la resección endoscopica de un pólipo, aseguran ausencia de sangrado diferido.

Cáncer infiltrativo estenosante en colon izquierdo
Infiltración y estenosis de la pared, semi circular de un 50% aproximado de la luz intestinal en colon descendente. Se complemente luego del diagnostico histologico con Estudio de extensión TAC de tórax y abdomen para evaluar posibilidades quiríurgicas.

Cáncer de colon.
Cáncer infiltrativo estenosante en ciego.

Otra cara de un orificio apendicular normal
Orificio apendicular visto desde el intestino grueso, sin signos inflamatorios.
Visión del orificio apendicular en ciego.
Ese orificio oscuro, es la entrada del apéndice.

Angiodisplasia en colon.
Distinta forma, distinto tamaño de la lesión vascular.

Angiodisplasia en zona Cecal
Lesión fina de tipo Vascular que denominamos Angiodisplasias, suelen producir sangrado crónico, se puede observar en cualquier lugar de Apto Digestivo, pero lo más frecuente es en zona cecal, y suele ser causa de anemia crónica.
Pólipo Adenoma Velloso, con Cáncer In situ.
Pólipo Adenovelloso degenerado a Cáncer resecado en COLON. Tras resecarlo es el momento de Extracción

Pólipo con pedículo grueso y largo en Sigma.
Este si, es posible que sea benigno, pero si no es maligno lo hubiera sido con el tiempo. Resultó Adonomatoso en examen del patólogo, que si es el estadío previo al cáncer. Así pues se resecó y se curó de un futuro cáncer de colon.

Varices Esofágicas grandes
Otra toma de Varices esofágicas.

Varices Esofágicas.
Varices en Esófago grandes. con factores de Riesgo de Sangrado. asociada su aparición en Cirrosis Hepática.

Varices rectales.
Varices en ampolla rectal. No es esto muy frecuente.

Úlcera Peptica Duodenal.
Se aprecian 2 úlceras, sobre tejido inflamado, en Bulbo Duodenal, -primera porción del primer segmento del intestino delgado, úlceras benignas.,

Úlcera en Esófago.
Úlcera Esofágica, varios cm de longitud, profunda, e irregular, probablemente de origen vírico Herpética o Citomegalovirus.

Úlcera gástrica.
Ulcera gástrica, con rasgos de ser benigna, como confirmó luego el Anatomopatólogo. Aunque por su tamaño era sospechosa. Biopsias en estómago son fundamentales.

Tumor de GIST
Tipo raro de tumor maligno de tejido conectiva, asienta mucho más frecuente en Estómago, pero puede aparecer en cualquier otro lugar de tuvo digestivo.

Proctitis Ulcerosa Inespecifica.
Afectación rectal por proctitis ulcerosa inespecífica, (Causa desconocida)
Bezoar gástrico
Restos Alimentarios que han adquirido consistencia y no se ha vaciado a intestino. Se instila Celulasa, y hasta coca cola pudiera tener su efecto. cuando no es posible fragmentarla y extraerla endoscópicamente. consistentes, que no ha sido vaciado a intestino, por algún problema de motilidad gástrica.

Extracción de cuerpo extraño.
Extracción de una Prótesis dental impactada en esófago mediante Endoscopia.

Prótesis Dental en Esofago.
Prótesis dental, que a alguien se le escapó y se impactó en esófago- situación grave- se extrajo por vía Endoscopia.

Proctitis Actínica.
Visión de ampolla rectal, tras un tratamiento con Radioterapia, aparece pronto o también tras largo tiempo del tratamiento, tras tratamiento de Cáncer de próstata, recto, o útero.

Hemorroides Internas.
visión desde orificio anal, entrando hacia Recto. Gruesas Hemorroides Internas.

Pólipos en Estómago
Endoscopia Digestiva Alta.- Cavidad gástrica con Pólipos Hiperplásicos.-Benignos. Vista de extremo distal al proximal del estómago.

Úlcera Gástrica Benigna que había sangrado.
Las características visuales sugieren que pudiera ser benigna, el tamaño sugería que también podría ser maligna. Es imprescindible en toda úlcera gástrica tomar biopsias porque debe ser el patólogo quien dé finalmente el diagnóstico de benigna o maligna

Hernia de Hiato
Vista en retrovisión.

Hernia de Hiato.
Visión de una hernia de hiato, con el endoscopio en zona media de estómago y dirigiendo la punta hacia arriba. (En J)
Retención Gástrica material orgánico.
Este material orgánico ,consistente mal masticado,se retuvo en cavidad gástrico, el vaciamiento gástrico estaba enlentecido y tras varios días,hubo que extraerlo endoscópicamente.
Restos Alimentarios impactados en Esófago.
Es material orgánico impactado en esófago que el paciente no masticó adecuadamente y lo suficiente, dió bocados más grande de lo debido y se quedó atorado, (Carne macerada) se solucionó endoscópicamente. Se marchó muy agradecido.

Pólipos múltiples Hiperplásicos en estómago.
Los pólipos gástricos cuando nos los encontramos, resecamos los mayores,en este caso con asa diatérmica, para que el patólogo diga la última palabra sobre su naturaleza, Hiperplásicos (que se sugiere ya desde la endoscopia por sus características visuales).

Pólipos gástricos múltiples en antro gástrico
Pólipos gástricos múltiples de naturaleza hiperplásicos (Benignos). en antro gástrico (Segmento distal de estómago).

Pólipo gástrico.
Pólipo gástrico en cuerpo alto de estómago, con estigmas de haber sangrado, cosa que es muy frecuente en este tipo de pólipos cuando adquieren cierto tamaño.

Pólipo gástrico Hiperplásico.
Pólipo gástrico Hiperplásico con tallo cortísimo no visible

Pólipo Gástrico.
Pólipo gástrico Hiperplásico, NO maligno, con tallo que lo une a la pared gástrica.

Funduplicatura de Nissen- Hernia de hiato intervenida.
Hernia de hiato intervenida quirúrgicamente, (Funduplicatura de Nissen), las más común de intervenciones para Hernia de hiato.

Gran Hernia de hiato.
Desplazamiento de parte alta del estómago hacia el tórax, la imagen muestra el segmento desplazado por encima del hiato, que es el "hueco" donde debería terminar el esofago y comienza el estómago. En este caso no ocurre así, y la consideramos como grande.

Esofagitis péptica complicada.
Las inflamaciones repetidas por reflujo Gastro esofágico, han llevado a esas múltiples retracciones cicatriciales en esófago.

Esofagitis Péptica.-
Provocada por Reflujo Ácido Gastroesofágico.